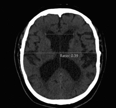
Normal Pressure Hydrocephalus (NPH) Article Topic: Normal Pressure Hydrocephalus (NPH) Author: Tasneem Khallad Editor: Philip Sweidan, Ethar Hazaimeh Keywords: iNPH, sNPH, Hakim’s triad, CSF shunt. Overview Normal-pressure ... Tasneem KhalladJuly 5, 2022 Articles
Articles Central Sleep Apnea Article topic: Central Sleep Apnea Author: Ihdaa Mahmoud Bani Khalaf Editor: Hala Qaryouti Keywords: Apnea, ...
Articles Intraventricular Brain Hemorrhage Article Title: Intraventricular Brain Hemorrhage Author: Yara Alswaiti Editors: Yasmeen Alabdallat, Rawan AbuHammor Scientific Editor :- ...
Articles ARACHNOID CYSTS ARACHNOID CYSTS Author : Soliman Mohamed Abdelmonem Soliman Editor: Menna Mohamed Marwan. Scientific Editor :- Dr. Adam ...
Articles Huntington’s Disease Title of article: Huntington’s Disease Author: Omar AL Khateeb Editor: Ethar Hazaimeh Keywords: Chorea, tremor, ...
Pineal Gland Anatomy and Tumors. Article Title: Pineal Gland Anatomy and Tumors Author: Almutazballlah Qablan. Editor: Aseel Rabadi , Dr Omar Jbarah Keywords: Pineal gland, Pineal tumor, Pineocytoma, ... Almutazballlah QablanMarch 27, 2022 Articles
Articles Schizophrenia Title: Schizophrenia Author: Rawan Osama Abu Nsair Editor: Rama Qatarneh Keywords: schizophrenia, psychosis, antipsychotics, positive ...
Articles Generalized Anxiety Disorder Article Topic: Generalized Anxiety disorder Author: Ibrahim Alhawaniah Editor: Ibraheem Alkhawaldeh, Rami AlEmoush. Reviewer: Ethar ...
Articles Cluster Headache Article topic: Cluster Headache Author: Tala Mohammad Editors: Nicola AL-Madani, Ethar Hazaimeh Keywords: Unilateral, trigeminal, ...
Articles Adrenergic Antagonist Article Topic: Adrenergic Antagonist Author: Mohammad Khader Altal. Scientific Editor: Yazan S. Al-Zamer, Ethar Hazaimeh ...