Carotid Body Tumors Article topic: Carotid Body Tumors Author: Layan Abuqayyas Scientific editor: Dr.Omar Jbara Linguistic editor: Philip Sweidan Overview The carotid body is a small ... Layan AbuqayyasFebruary 2, 2021 Neurosurgery
Neurosurgery Biomechanics of Traumatic Brain Injury Title: Biomechanical basis of traumatic brain injury Author: Sara M. AlQuran Keywords: Traumatic brain injury, ...
Neurosurgery Radiotherapy Techniques Article topic: Radiotherapy Techniques Author: Saif Yahya Smadi Editor: Dr.Omar Jbarah, Philip Sweidan Keywords: Intensity-modulated ...
Neurosurgery Blunt Cerebrovascular Injury Article Title: Blunt Cerebrovascular Injury Author: Nancy Abu Amoud Editors: Dr.Omar Jbarah , Zain Alsaddi ...
Epidemiology of Traumatic Brain Injury. Article topic: Epidemiology of Traumatic Brain Injury Author: Noor Alosta Scientific editor: Dr.Omar Jbara Linguistic ...
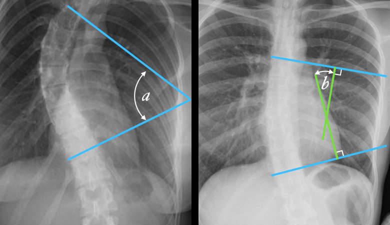
Spinal Biomechanics and Basics of Spinal Instrumentation Article topic: Spinal Biomechanics and Basics of Spinal Instrumentation Author: Yasser Banat Scientific editor : Dr.Omar Jbara Linguistic editor: Zain Alsaddi, phillip ... Yasser BanatFebruary 1, 2021 Neurosurgery