Arachnoid Cyst Title : Arachnoid Cyst Author : Rania Sanouri Key Words : Brain Cyst , Pediatrics , Seizure , VP Shunt Scientific Editor : ... Rania SanouriJuly 23, 2021 Neurosurgery
Neurosurgery Primary Neuroectodermal Tumors (PNET) Title: Central Nervous System Primitive Neuroectodermal Tumor. Author: Ghadi Ahmad Hasan Al-Wazani. Keywords: Oncology, Neurosurgery, ...
Neurosurgery Cerebral Vasospasm Article title: Cerebral Vasospasm Author: Mahmoud Algharabli Scientific Editor: Dr Omar Jbarah Linguistic Editor: Philip ...
Neurosurgery Epidural Hematoma Title: Epidural Hematoma Author: Rahaf AlFukaha Scientific editor: Dr. Omar Jbarah Linguistic Editor: Zain Alsaddi, ...
Neurosurgery Low Grade Glioma Article topic: Low grade glioma By: Shoroug Naser Al Hamdan Key word: Low grade glioma ...
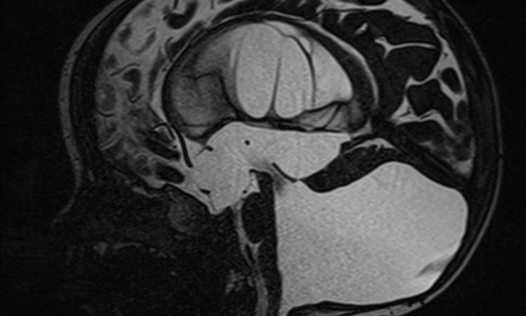
Dandy Walker Syndrome Article topic: Dandy Walker Syndrome Author: Ghayda Netham Al-Majali Scientific editor: Dr. Omar Jbara Linguistic editor: Philip Sweidan Overview Dandy-Walker syndrome (DWS), ... G.majaliFebruary 17, 2021 Neurosurgery
Neurosurgery Chiari Type I Malformation Article Topic: Chiari Type I Malformation Author: Marah Bassam Akhdar Keywords: Chiari Type I Malformation, ...
Neurosurgery Neural Tube Defects Article topic: Neural Tube Defects Author: Rania Sanouri Scientific editor : Dr.Omar Jbara Linguistic editor: ...
Neurosurgery Non-Atherosclerotic Carotid Artery Lesions Article topic: Non-Atherosclerotic Carotid Artery Lesions Name of the author: Rand Al Kalbani Key ...
Neurosurgery Carotid Occlusive Artery Disease – Carotid Artery Stenosis Article topic: Carotid Occlusive Artery Disease – Carotid Artery Stenosis Author: Yusra Ghassan (Moh’d Akram) ...